Работы
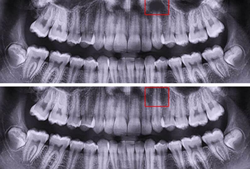
Гайморит, деструкция костной ткани в области верхушек корней зубов
Гайморит, деструкция костной ткани в области верхушек корней зубов
2025-04-29 08:19